ПОРТФОЛИО

Красивые и здоровые зубы являются ключевым элементом красивой улыбки. Цель лечения всегда заключается в достижении гармонии. Искусство является неотъемлемой составляющей процесса создания красивой и здоровой улыбки. Но в каждом случае требуется гармоничное сочетание искусства и науки.

В искусстве, как и в стоматологии, в основе построения композиций лежат математические законы. Гармонию можно проверить алгеброй. То есть красота может быть подвергнута тщательному и объективном анализу. Остаётся добавить уникальность и индивидуальность, чтобы получить эмоциональное восприятие результата.

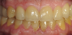
ДО

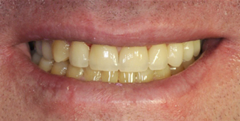
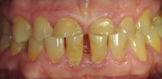
Пациент обратился с жалобой на истирание передней и боковой групп зубов, отсутствие жевательных зубов, затрудненное пережевывание пищи, ухудшение дикции, появление морщин в уголках рта.

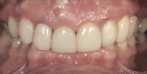
ПОСЛЕ

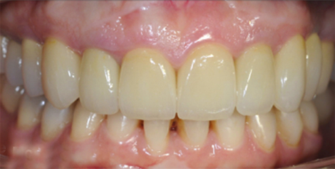
Проведено лечение брекет-системой, установлены имплантаты в жевательном отделе, изготовлены виниры и безметалловые коронки на зубы в зоне улыбки, восстановлена дикция, устранены морщины в уголках рта.

Показать
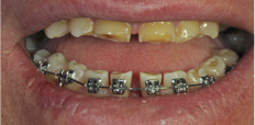
ДО

Пациент обратился с жалобой на истирание передней и боковой групп зубов, отсутствие жевательных зубов, затрудненное пережевывание пищи, ухудшение дикции, появление морщин в уголках рта.

ПОСЛЕ

Проведено лечение брекет-системой, установлены имплантаты в жевательном отделе, изготовлены виниры и безметалловые коронки на зубы в зоне улыбки, восстановлена дикция, устранены морщины в уголках рта.

Показать